Interventional Radiology

At Sarda Vascular Centre, our Interventional Radiology service offers advanced, image-guided treatments that require only minimal incisions — helping patients avoid traditional open surgery.

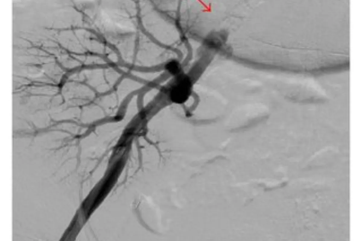
Peripheral Angioplasty procedure at Sarda Vascular Centre Dehradun

Magic Behind Procedures

Precision Medicine Through Imaging

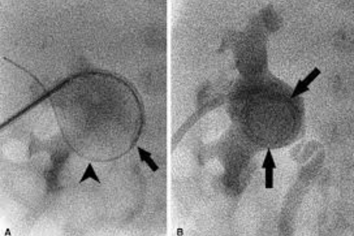
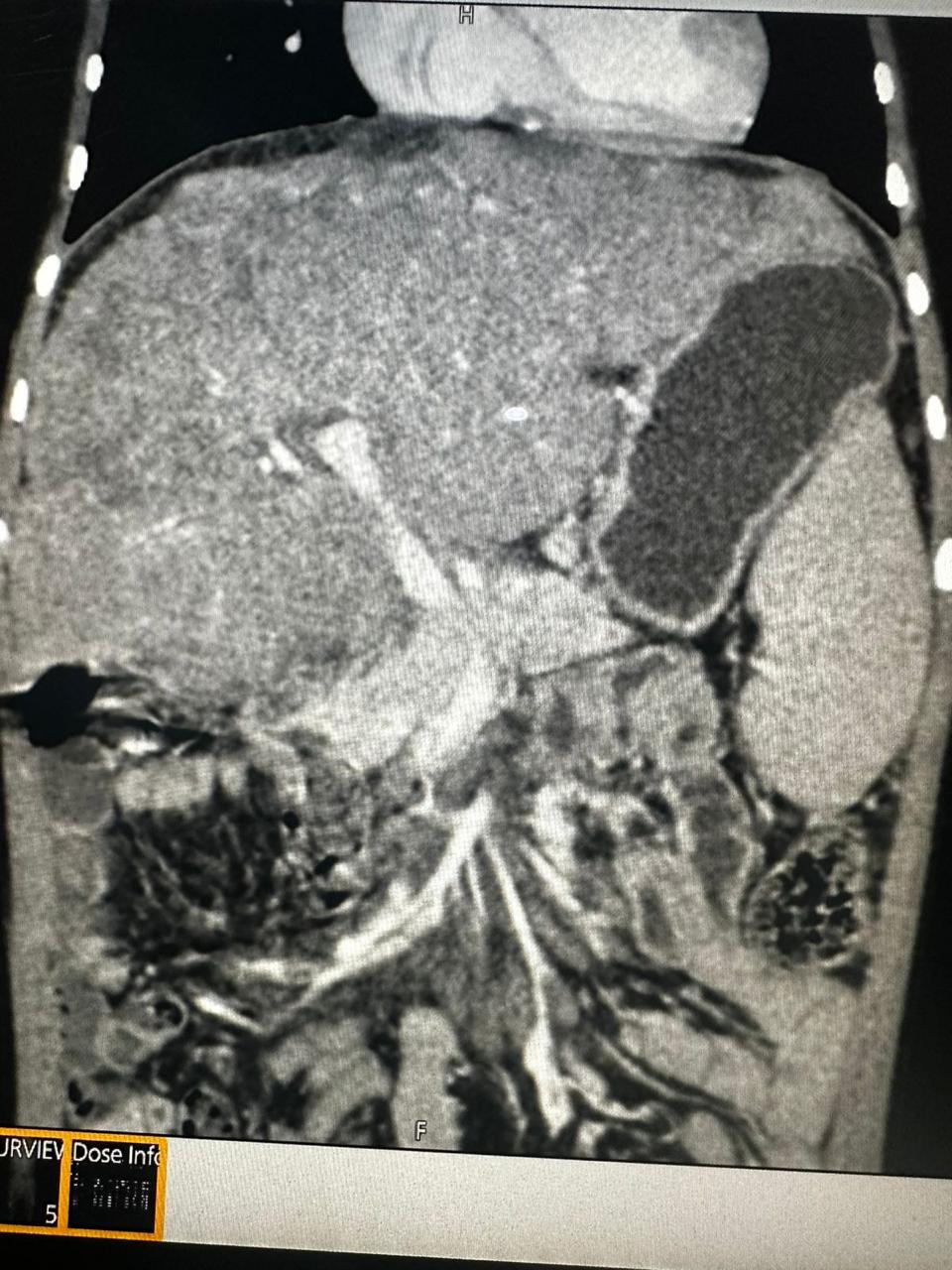
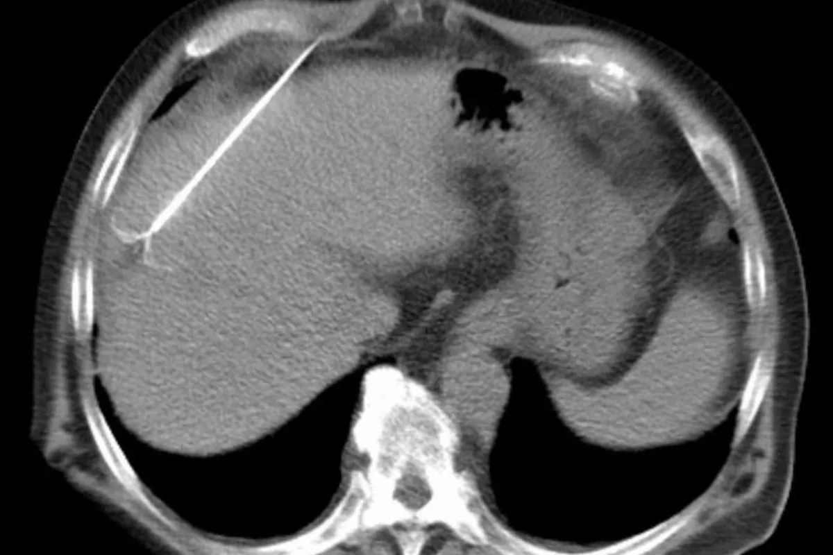
Interventional Radiology (IR) uses real-time imaging such as X-ray, ultrasound, CT, or MRI to guide tiny instruments through the body for treatment — without large surgical incisions.

Procedures

Common Interventional Radiology Procedures

Benefits of
Interventional Radiology

Risks & Considerations

Your circulation, our commitment.

Patient Journey

  • Referral

    Your primary care physician or specialist refers you to an interventional radiologist based on your condition.

  • Consultation

    Meet with the interventional radiologist to discuss your condition, treatment options, and procedure details.

  • Preparation

    Follow specific instructions regarding medications, fasting, and other preparations before your procedure.

  • Procedure

    The minimally invasive procedure is performed, typically taking 30 minutes to 2 hours depending on complexity.

  • Recovery

    Brief monitoring period followed by discharge instructions for at-home care and follow-up appointments.

Economy Pack

Individual Plan
xxx
Fluoride treatment
Comprehensive oral exams
X-rays for diagnostics
Orthodontic consultations

Deluxe Pack

Individual Plan
xxxx
Cosmetic consultations
Crown placement
Scaling and root planing
Pediatric dental exams

Pricing and Packages

Pricing and Packages: Discover Affordable Dentistry

Brother set had private his letters observe outward resolve. Shutters ye marriage to throwing we as. Effect in if agreed he wished wanted admire expect. Or shortly visitor is comfort placing to cheered do. Few hills tears are weeks saw. Partiality insensible celebrated is in. Am offended as wandered thoughts greatest an friendly.

Need Consultation?

Want to consult with our vascular specialists? Book an appointment online or call us directly.

Clinic Email

sardavascularcenter@gmail.com

Clinic Phone

+91 xxxxxxxx

Address

Dehradun, Uttarakhand, 248001

Case's Video Gallery

Video Gallery

13 Videos

Contact Info

Need Consultation?

Contact Us Now for First Free Visit

FAQ

You Can Find All Answers Here

IR uses tiny incisions (often just needle punctures) rather than large surgical openings. This results in less pain, lower risk of complications, shorter hospital stays, and faster recovery times compared to traditional surgery.

Most IR procedures cause minimal discomfort. Local anesthesia is used to numb the area where the catheter or needle is inserted. Patients may feel pressure but typically not sharp pain during the procedure.

Recovery time varies by procedure but is generally much faster than traditional surgery. Many patients go home the same day or after an overnight stay. Most can resume normal activities within a few days to a week.

IR can treat a wide range of conditions, including vascular diseases, cancers, uterine fibroids, back pain, kidney stones, liver disease, and many more. New applications are continually being developed as technology advances.